HOPE-CP-studien – Journal of Periodontology, 2026
Mer än dubbelt så många patienter uppnådde friska tandkött.
En 6 månader lång randomiserad kontrollerad studie (n=200) visade att hemmabaserad dubbel-ljusterapi signifikant förbättrar inflammationskontroll, plackreduktion och parodontal stabilitet jämfört med enbart standardbehandling.
Lumoral ger kliniskt meningsfulla förbättringar i parodontal hälsa.
Läs hela studien: https://doi.org/10.1002/jper.70082
Lumoral + underhållsbehandling
Endast underhållsbehandling
51 %
23 %
12,0 %
17,3 %
9,7 %
14,2 %
63 %
38 %
5,3
7,8
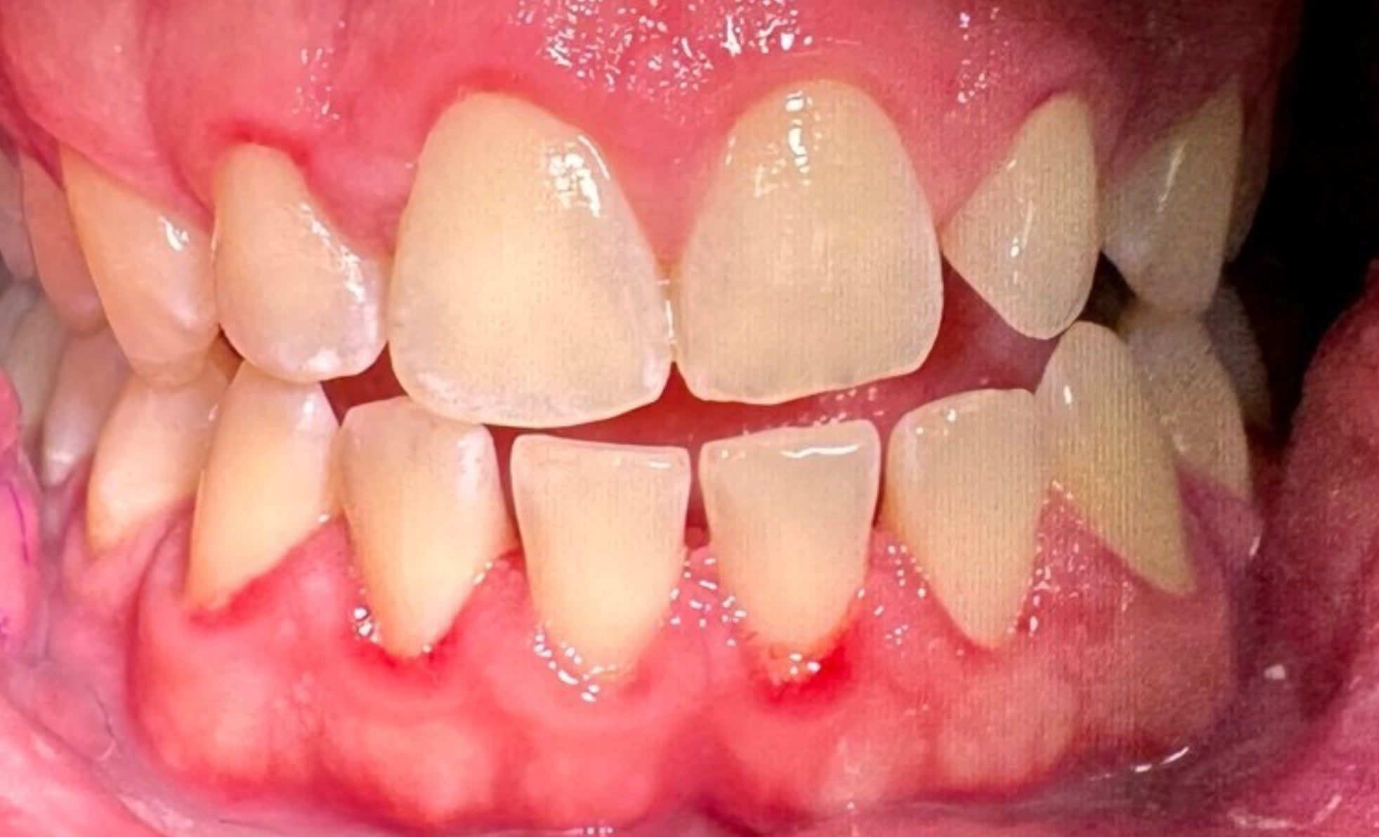
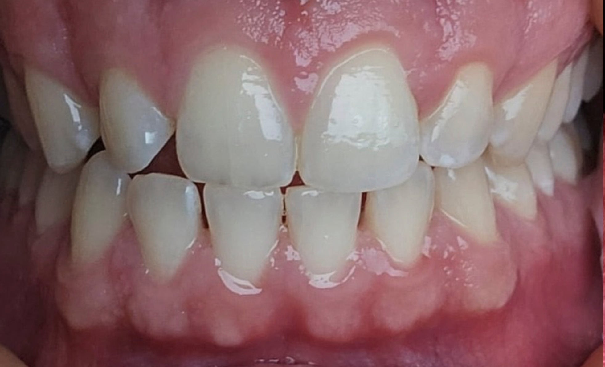
Patientfall
Under en 4-veckors uppföljningsperiod med Lumoral som ett komplement till daglig munhygien observerades tydliga förbättringar av munhälsan.
Blödning vid sondering (BOP) minskade markant från 52 % vid baslinjen till 15 %, vilket indikerar en betydande minskning av gingival inflammation.
Approximalt plackindex (API) förbättrades också avsevärt och sjönk från 75 % till 36 %, vilket återspeglar väsentligt bättre plackontroll och munhygien.
Dessa resultat överensstämmer med fynd från kliniska studier med Lumoral och visar att regelbunden användning som ett komplement till mekanisk plackontroll kan leda till snabba, kliniskt meningsfulla förbättringar av gingival hälsa och biofilmshantering.

Baslinje

4-veckors uppföljning
Lumoral-behandlingen
Lumoral® är en patenterad behandling, utvecklad i Finland. Effekten har bevisats i flertalet vetenskapliga studier och såväl tandvårdspersonal som patienter vittnar om fina kliniska resultat.
Denna ljusaktiverade, antibakteriella metod används som ett komplement till den dagliga egenvården med tandborstning och mellanrumsrengöring. Läs den här broschyren för att lära dig mer och bidra ännu mer till en förbättrad munhälsa hos dina patienter.

Fördelar
Lumoral förbättrar hanteringen av orala inflammationer och för fler patienter till behandlingsberedskap.
• I en 6-månaders randomiserad kontrollerad studie (n=200) uppnådde mer än dubbelt så många patienter friska tandkött jämfört med standardvård. Detta hjälper parodontitpatienter att snabbare gå vidare till implantatbehandling, tandreglering och andra åtgärder.
Egenvården fungerar konsekvent även mellan behandlingsbesöken när biofilmen hålls under kontroll dagligen.
• Effektivare biofilmskontroll minskar risken för återfall av parodontit och peri-implantit. Lumoral lämpar sig väl som stöd vid behandling av parodontala, implantat- och ortodontipatienter. I underhållsfasen kan Lumoral-behandlingen riktas mot gingivit eller peri-implantar mukosit genom att öka användningsfrekvensen till daglig användning i kurer.
I praktiken innebär detta mer förutsägbar behandling, mer nöjda patienter och färre komplikationer.
• När inflammationskontrollen fungerar bättre hemma är behandlingsförloppet jämnare och resultaten mer förutsägbara. Samtidigt förbättras patientupplevelsen och kostnaderna för komplikationer minskar.
Tre enkla steg till en frisk mun

Skölj
Skölj munnen med Lumorinse® munskölj i 60 sekunder och spotta ut vätskan. Det ljuskänsliga färgämnet indocyaningrönt binder sig till biofilm. Bindningen av Lumorinse färgämne är nödvändigtvis inte synlig för blotta ögat.

Aktivera
Munstycket placeras munnen och är verksam under 10 min. Ljuset aktiverar färgämnet som nu omger biofilmen och den antibakteriella effekten startar. En känsla av värme och ökad salivproduktion är en del av behandlingen. Munstycket behöver inte passa perfekt, placeras i munnen utan kraftig påbitning. Ljuset stängs av automatiskt.

Borsta
Interdentala utrymmen rengörs och tänderna borstas noggrant efter behandlingen. Behandlingen eliminerar 99,998% av sjukdomsalstrande bakterier och nollställer dess skadliga verkan, därpå försvagas biofilmens struktur vilket gör den motoriska rengöringen lättare. Munstycket rengörs under ljummet vatten och en droppe flytande diskmedel.
Lumoral innovation
EFP rekommenderar starkt både professionell och hemmabaserad kontroll av biofilm för alla med parodontit, dock rekommenderar de inte än traditionell fotodynamisk terapi (aPDT). Eftersom bra ljuskällor saknats har metoden mest använts på specialistkliniker med laser, och behandlingarna har ofta varit dyra engångsinsatser. Studier visar att regelbunden behandling ger bäst resultat.
Lumoral® förändrar detta genom att använda modern LED-teknik och gör metoden enkel att använda hemma. Nu kan fler få tillgång till effektiv och säker behandling för bättre munhälsa – oftare, smartare och till en rimlig kostnad.
Hur fungerar Lumoral?
Lumoral kombinerar effektivt fyra olika tekniker.

Fotobiomodulering (PBM) 810 nm
810 nm ljus stimulerar mitokondrierna i tandköttscellerna, vilket ökar deras ATP-produktion. Det minskar inflammation och främjar vävnadsläkning. Används kliniskt vid behandling av bland annat inflammation i munslemhinnan.

Fototermisk effekt (aPTT)
Indocyaningrönt binder till bakteriell biofilm och aktiveras av ljus vid 810 nm. Ljuset omvandlas till värme, vilket bryter ner biofilmen och bakteriens cellmembran. Värmen stimulerar också salivutsöndringen.

Antibakteriellt blått ljus (aBL)
Under påverkan av ljus producerar samma färgämne också en liten mängd reaktivt syre, vilket förstärker den fototermiska effekten. Den antibakteriella effekten är också effektiv i biofilm.

Antibacterial blue light (aBL) 405 nm
405 nm Blått ljus aktiverar bakteriernas egna färgämnen, vilket förbättrar effektiviteten hos aPTT- och aPDT-behandlingar. Eftersom effekten baseras på bakteriernas naturliga strukturer kan de inte utveckla resistens mot Lumoral-behandling.

Bevisad effekt
✓ Effektiv behandling av gingivit, parodontit och periimplantit
✓ Kan användas regelbundet utan risk för bakterierressistens
✓ Icke-invasiv och väl tolererad
✓ Minskar plack- och tandstensbildning
✓ Minskar inflammation
✓ Minskar tandköttsfickor
✓ Främjar långsiktig munhälsa
✓ Lätt att använda, även för äldre och unga människor
Vetenskapliga studier med Lumoral.
Kliniska prövningar som undersöker Lumoral®-behandling är utformade och genomförda i enlighet med internationella standarder, inklusive ISO 14155 - GCP (Kliniska prövningar av medicintekniska produkter – god klinisk praxis) och EU:s förordning om medicintekniska produkter EU 2017/745 (MDR). När kliniska studier genomförs med hög kvalitet och baseras på vetenskaplig utvärdering kan både användare och tandvårdspersonal lita på medicintekniska produkters kvalitet och prestanda.
Blödning vid sondering (BOP%)
Result: BOP% decreased significantly in the Lumoral® group in several studies. *1, *2, *3, *4, *9
• p-values: 0.031, 0.00142, 0.00013, 0.00014, <0.0001 (non-smokers).
Plackindex
Synligt plackindex (VPI%): minskade signifikant i flera studier.² ⁴ ⁹ ¹⁰ ¹²
• p-värden: 0,031; 0,00452; 0,044; 0,00395; 0,019
Rustogi Modified Plaque Index (RMPI): signifikant minskning.¹⁰
• p-värde: 0,0026
Greene-Vermilion Plaque Index (GVPI): signifikant minskning.⁶
• p-värde: <0,000110
Djupa fickor
Probing Pocket Depth (PPD): signifikant minskning i tre studier.² ⁴ ⁹
• p-värden: 0,04982; 0,00434; 0,019
Periodontal Epithelial Surface Area (PESA): signifikant minskning i två studier.² ⁴
• p-värden: 0,0342; 0,0094
Inflammerad fickyta (PISA)
Resultat: Signifikant minskning i två studier (slutrapport under peer review).⁴
• p-värden: 0,00162; 0,0344
Kliniskt parodontalt hälsoindex (CPI)
Resultat: Signifikant förändring observerades i CPI-mätningar.⁹
• p-värde: 0,00065
Enzymatisk analys av inflammation (aMMP-8)
Resultat: Signifikant förändring i två studier.¹ ²
• p-värden: 0,00471; 0,02683
Övriga resultat
• Muntorrhet minskade både subjektivt och i objektiva mätningar.⁵
• Användning av Lumoral®-enheten förbättrar munhygienen (subjektiv och objektiv utvärdering).¹ ² ⁷ ⁸ ¹⁰
• Användningen upplevs som enkel och smidig.⁷
• Långtidsanvändning (över ett år) har minskat karies, plack och tandstensbildning.⁷
1. Lähteenmäki H, Pätilä T, Räisänen IT, Kankuri E, Tervahartiala T, Sorsa T. (2022). Repeated Home-Applied Dual-Light Antibacterial Photodynamic Therapy Can Reduce Plaque Burden, Inflammation, and aMMP-8 in Peri-Implant Disease—A Pilot Study. https://pmc.ncbi.nlm.nih.gov/articles/PMC8947626/ 2. Pakarinen S, Saarela R, Välimaa H-M, Heikkinen AM, Kankuri E, Noponen M, Alapulli H, Tervahartiala T, Räisänen IT, Sorsa T, Pätilä T. (2022). A Randomized Trial of Home-Applied Dual-Light Photodynamic Therapy in Stable Chronic Periodontitis (HOPE-CP) – Interim Analysis of Half Cohort Results. https://pmc.ncbi.nlm.nih.gov/articles/PMC9689653/
3. Lähteenmäki H, Pätilä T, Räisänen IT, Kalliala R, Sorsa T. (2025). Peri-Implant Diseases: Enhanced Antibacterial Photodynamic Therapy. https://onlinelibrary.wiley.com/doi/10.1002/cre2.70146
4. Tegelberg P, Ojala M, Ylipalosaari M, Lindroth J, Heikkinen AM, Lähteenmäki H, Pakarinen S, Räisänen IT, Sorsa T, Pätilä T. (2025). A Multicenter, Controlled, Randomized Trial of Home-Applied Dual-Light Photodynamic Therapy in Chronic Periodontitis. Preprint: https://www.medrxiv.org/content/10.1101/2025.03.25.25324596v1
5. Romppanen W, Helenius-Hietala J, Korte S, Pakarinen S, Saarela R, Heikkinen AM, Sorsa T, Pätilä T. (2025). Dual-Light Antibacterial Photodynamic Therapy: Oral Health Improvements in Assisted Living Facilities Study Design (Article in Press)
6. Cavalcante-Bitu C, Halen P, Lehti S, Pakarinen S, Pätilä T. (2025). Regularly Home-applied Dual-light Photodynamic Therapy on Dental Hygiene- a Prospective Randomized Study in Healthy Adults. (Full study article manuscript TBD, Thesis available in Finnish: https://www.theseus.fi/handle/10024/799188)
7. Niva E, Kulmala H, Vakkuri S, Keinänen A-L, Korteniemi A. (2024). Thesis. Comfort of using the Lumoral device and feeling of oral cleanliness in healthy adults. https://www.theseus.fi/handle/10024/870703
8. Haukka H, Kinnunen S, Pakarinen S. (2024). Thesis. The benefits of the Lumoral Treatment -device for oral self-care habits. https://urn.fi/URN:NBN:fi:amk-2024112630435
9. Sundberg E, Kylmänen M, Eerikäinen H, Pätilä T, Sivén M. (2024) Thesis. The effect of home-use antibacterial photodynamic treatment on clinical oral parameters of patients with grade II or higher periodontitis – Evaluating an innovative medical device. https://helda.helsinki.fi/items/e9f93e98-1387-4c33-ba12-54f73526b6ae
10. Gusseva L, Lill L, Runnel R, Pätilä T. (2025) Thesis. Regular Home-Use of Dual-Light Photodynamic Therapy in Oral Plaque Control in Healthy Adults-A Randomized Cross-Over Study. https://cdn.shopify.com/s/files/1/0264/6291/2621/files/Tarto_hygiene_study_thesis_En_22May2025.pdf?v=1748262952
11. Nikinmaa S, Alapulli H, Auvinen P, Vaara M, Rantala J, et al. (2020) Dual-light photodynamic therapy administered daily provides a sustained antibacterial effect on biofilm and prevents Streptococcus mutans adaptation. PLOS ONE 15(5): e0232775. https://doi.org/10.1371/journal.pone.0232775 Nikinmaa S, Moilanen N, Sorsa T, Rantala J, Alapulli H, Kotiranta A, Auvinen P, Kankuri E, Meurman JH, Pätilä T. Indocyanine Green-Assisted and LED-Light-Activated Antibacterial Photodynamic Therapy Reduces Dental Plaque. Dentistry Journal. 2021; 9(5):52. https://doi.org/10.3390/dj9050052
Lumoral klinisk behandlingsgång

Kontrollera: biofilm, gingivit, BoP, fördjupade tandkötts- och implantatfickor, individuella riskfaktorer såsom hög risk för bakteriemi eller nedsatt immunförsvar, samt egenvårdsvanor.

Förebyggande/underhållsbehandling: Biofilmkontroll och bibehållen munhälsa
Terapeutisk behandling: Inflammationskontroll och bromsning av sjukdomsprogression
Intensivvård: Intensiv behandling av akut inflammation

- Enheten lämnas ut vid mottagningen eller levereras direkt hem.
- Snabb att använda: ca 15 minuter per behandlingstillfälle.
- En naturlig del av kvälls- eller morgonrutinen.
- Kräver inga särskilda färdigheter.
- Lämplig för alla åldrar – kan användas självständigt eller med assistans.
Kontrollera: biofilm, gingivit, BoP, fördjupade tandkötts- och implantatfickor, individuella riskfaktorer såsom hög risk för bakteriemi eller nedsatt immunförsvar, samt egenvårdsvanor.
Förebyggande/underhållsbehandling: Biofilmkontroll och bibehållen munhälsa
Terapeutisk behandling: Inflammationskontroll och bromsning av sjukdomsprogression
Intensivvård: Intensiv behandling av akut inflammation
- Enheten lämnas ut vid mottagningen eller levereras direkt hem.
- Snabb att använda: ca 15 minuter per behandlingstillfälle.
- En naturlig del av kvälls- eller morgonrutinen.
- Kräver inga särskilda färdigheter.
- Lämplig för alla åldrar – kan användas självständigt eller med assistans.



Rekommenderas av professionella
90% av de professionella som har provat behandlingen rekommenderar Lumoral som en del av egenvården.
84% rapporterar om fördelarna i samband med biofilm och parodontium. (parodontit, ren känsla i munnen, biofilmmängd och -sammansättning, överdriven tandstensbildning)
Lumoral®-undersökning för tandvårdsprofessionella, 2022–2025. Svarande: 660. Interna data från Koite Health Ltd.

–Katherina Trujillo, tandläkare, Stockholm
"Gissa om jag blev förvånad när jag för första gången såg resultatet av Lumoral. Min första Lumoral patient led av avancerad parodontit pga en tidigare sjukdom, han fick använda Lumoral under 30 dagar med daglig användning och komma på återbesök. Jag blev väldigt förvånad över det snabba tillfrisknandet. Med Lumorals hjälp klarade han nu av sin munhälsa, han blev fri från inflammation och tandköttsfickor på 4 månader. Jag har dokumenterat behandlingen och berättar för mina kollegor. Nu blir jag inte chockad längre, men jag reagerar fortfarande glatt när mina patienter kommer på återbesök efter att ha använt Lumoral.”"

Akke Kumlien, tandläkare, Södertandläkarna, Stockholm
”Vi arbetar med tandimplantat och komplex tandvård, vi har använt Lumoral® under en längre tid för att minska inflammation i munnen och förbättra resultaten av våra behandlingar. Våra patienter märker en tydlig skillnad efter bara några veckors användning. Det är därför vi rekommenderar Lumoral® till våra patienter.”

Prof. Dr. med. dent. Werner Birglechner, tandläkare
”De kliniska bevisen är verkligen övertygande. I synnerhet erbjuder personlig vägledning baserad på riskprofil från en tandhygienist en enorm potential för målinriktad behandling utan biverkningar. Lumoral kommer att förbättra behandlingen av parodontit avsevärt, med långvariga effekter.”
För patienternas bästa
Min tandläkare rekommenderade den här apparaten eftersom mina slemhinnor och mitt tandkött var så känsliga att ens tandstensborttagning inte var möjlig. Redan efter tio användningar märkte min tandläkare en tydlig förbättring av munslemhinnorna och tandköttet. Jag är tacksam för denna innovation.
Jag började använda apparaten för cirka två år sedan på rekommendation av min tandläkare på grund av problem med muntorrhet. Apparaten har hjälpt och hållit mitt tandkött i bättre skick. Nu skaffar vi en egen apparat även till min man.
Jag hade länge funderat på att köpa apparaten men var till en början skeptisk till nyttan. Min tandläkare rekommenderade den dock och berättade mer om produktens utvecklingshistoria. Samtalet stärkte min uppfattning och jag bestämde mig för att beställa apparaten. Nu kan jag säga att det var väl investerade pengar, även om det var en dyr investering. Min enda ånger är att jag inte köpte den tidigare, för då hade min mun varit mycket friskare nu.
Jag har typ II-diabetes, vilket också har lett till parodontit. Jag har kämpat mot dessa tillstånd i åratal med noggrann egenvård samt eltandborste och mellanrumsborstar rekommenderade av min tandläkare, men utan att uppnå tillfredsställande resultat. Sedan upptäckte jag Lumoral, och då började min mun verkligen läka. Jag använder den regelbundet varje morgon och kväll som en del av min noggranna egenvårdsrutin. Min tandläkare och tandhygienist har förundrats över den enorma förbättringen, och naturligtvis märker jag det själv: inflammationen är under kontroll, tandköttsfickorna har minskat och det finns ingen plack alls. Jag kan varmt rekommendera Lumoral.
Beställ Lumoral®-produkter till din klinik redan idag!
Om du kunde rekommendera något till din patient som verkligen skulle hjälpa – varför skulle du inte göra det?

